Teléfonos:
1234-5678 / 1234-5678
Correo electrónico:
info@cirugiapediatrica.com.gt
Inicio
¿Quiénes Somos?
Cirujanos Pediátras
Dr. Arnoldo López
Dra. Carla Ramírez
Dr. Nombre Apellido
Dr. Pedro Salazar
Dr. Javier Alvizures
Dr. Javier Bolaños
Dr. Erwin Hernández
Dr. Raúl Sosa
Cirugías Frecuentes
Cuidados
Clínicas
Close
Inicio
Cirujanos Pediátras
Dr. Arnoldo López
Dra. Carla Ramírez
Dr. Nombre Apellido
Dr. Pedro Salazar
Dr. Javier Alvizures
Dr. Javier Bolaños
Dr. Erwin Hernández
Dr. Raúl Sosa
Cirugías Frecuentes
Cuidados
Clínicas
Ln - Sb:
8:00am - 9:00pm
Sn: Cerrado
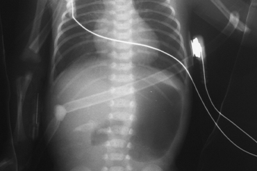
Atresia de Esofago
Inicio
Neonatal y Lactante
Desarrollado por Creativa 2019.